VUNO Partners with Sedecal for Global AI X-ray Solution Rollout
The South Korean medical AI company VUNO has entered into a supply contract with Sedecal, the world’s largest specialist in X-ray OEM, for its AI-based X-ray interpretation assistant solution, “VUNO Med Chest X-ray™.” Sedecal, established in 1994 and based in Spain, is a leading global X-ray OEM company. It supplies X-ray systems to major medical device companies such as GE Healthcare, Siemens, Philips, and Agfa. Furthermore, Sedecal has a robust presence in the X-ray industry, owning subsidiaries specialized in X-ray manufacturing in various locations, including the United States and France.

Under the agreement, VUNO will supply “VUNO Med Chest X-ray™” to Sedecal. The latter intends to integrate VUNO’s AI solution into its X-ray systems for sale in key international markets. Sedecal had already completed product integration in January and proceeded with the first purchase order for the initial quantity.
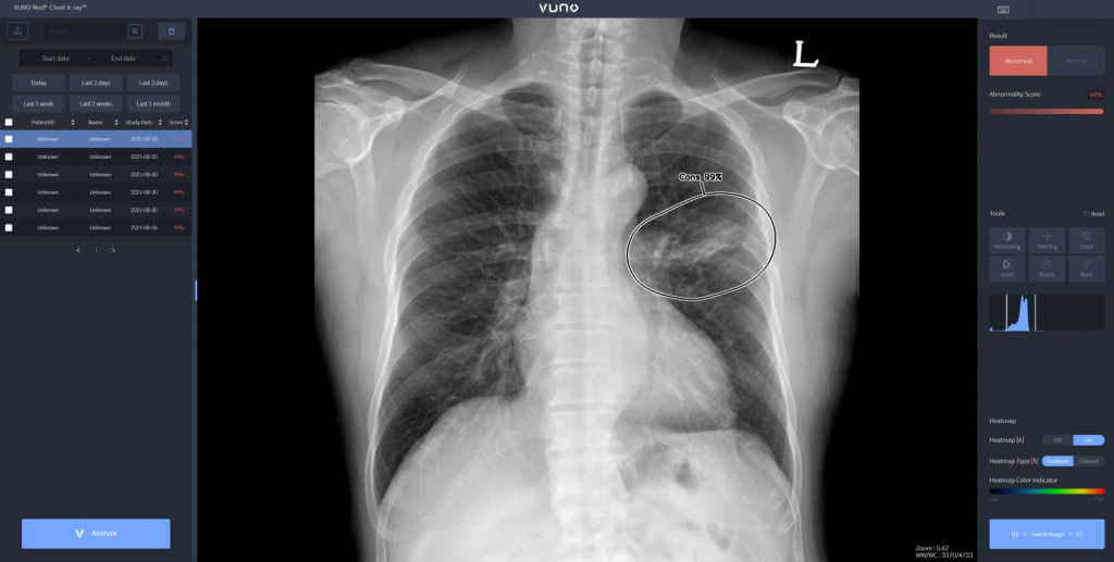
“VUNO Med Chest X-ray™” is an AI solution that accurately detects major anomalies such as nodules, calcifications, pleural effusion, and pneumothorax in chest X-ray images. It aids medical professionals by identifying and locating abnormal findings, thus facilitating the diagnosis of critical lung diseases, including tuberculosis and pneumonia. A notable feature of this solution is its lightweight model, which ensures easy integration with a wide range of X-ray equipment.
Both companies plan to aggressively market the AI-integrated X-ray systems in key European countries, with plans to extend their sales networks to other regions, such as South America, the Middle East, and Africa, in the future. They also aim to enter the U.S. market following the anticipated U.S. FDA approval of the product within the next few years.
Lee Ye-ha, VUNO’s representative, said, “Our collaboration with Sedecal, which has an outstanding global network, has laid the groundwork for us to enhance the B2B business of ‘VUNO Med Chest X-ray™’ and to accelerate our international success, particularly in Europe. By developing solid business strategies that align with the distinct characteristics of each product, we have been gradually establishing a stable revenue structure. We are committed to continuing this trend of performance improvement.”
MORE FROM THE POST
- AITRICS Raises 27.1 Billion KRW in Series B for ‘Vital Care’ Medical AI Expansion
- Promedius Secures KRW 11.2 Billion in Series A Funding for Medical AI Advancements
- Connecteve Secures $3M funding for AI in Musculoskeletal Software and Surgical Robotics
- VIENCE Secures Investment for AI-Based Biomedical Image Analysis Platform
- VUNO to Acquire USD 2.4 million Stake in Coreline Soft, Transfers LungCT Tech
Share
Response
-
[…] VUNO Partners with Sedecal for Global AI X-ray Solution Rollout […]
Most Read
- 1
- 2
- 3
- 4
- 5




Leave a Reply